提醒成功

搜索
Rabbit Polyclonal Antibody to SERPINH1
-
货号:
P12750 -
别名:
CBP1; CBP2; OI10; gp46; AsTP3; HSP47; PIG14; PPROM; RA-A47; SERPINH2 -
应用:
WB,IHC -
反应种属:
Human, Mouse -
抗体类型:
Primary antibody -
Swissprot:
P50454 -
规格:
-
数量:
-+ -
说明书:
目录价¥1980

Rabbit Polyclonal Antibody to SERPINH1
Description |
---|
This gene encodes a member of the serpin superfamily of serine proteinase inhibitors. The encoded protein is localized to the endoplasmic reticulum and plays a role in collagen biosynthesis as a collagen-specific molecular chaperone. Autoantibodies to the encoded protein have been found in patients with rheumatoid arthritis. Expression of this gene may be a marker for cancer, and nucleotide polymorphisms in this gene may be associated with preterm birth caused by preterm premature rupture of membranes. Alternatively spliced transcript variants have been observed for this gene, and a pseudogene of this gene is located on the short arm of chromosome 9. |
Specification |
|
---|---|
Aliases | CBP1; CBP2; OI10; gp46; AsTP3; HSP47; PIG14; PPROM; RA-A47; SERPINH2 |
Swissprot | P50454 |
WB Predicted band size | 46 kDa |
Host/Isotype | Rabbit IgG |
Antibody Type | Primary antibody |
Storage | Store at 4°C short term. Aliquot and store at -20°C long term. Avoid freeze/thaw cycles. |
Species Reactivity | Human, Mouse |
Immunogen | Synthetic peptide of human SERPINH1 |
Formulation | Purified antibody in PBS with 0.05% sodium azide and 50% glycerol. |
Application |
|
---|---|
WB | 1/200-1/1000 |
IHC | 1/10-1/50 |
ELISA | 1/5000-1/10000 |
Product Image
- Gel: 8%SDS-PAGE, Lysate: 40 μg, Lane 1-4: Hepg2, Hela and A431 cell, Human fetal liver tissue lysates, Primary antibody: P12750(SERPINH1 Antibody) at dilution 1/250, Secondary antibody: Goat anti rabbit IgG at 1/8000 dilution, Exposure time: 1 minute
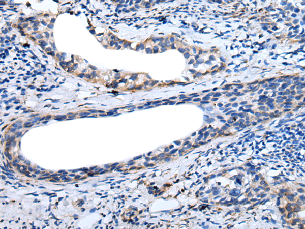
- The image is immunohistochemistry of paraffin-embedded Human cervical cancer tissue using P12750(SERPINH1 Antibody) at dilution 1/25. (Original magnification: ×200)
For Reseach Only
Application Key:WB - Western Blot | IHC - Immunohistochemistry | ICC - Immunocytochemistry | FCM - Flow Cytometry | ELISA - Enzyme-linked Immunosorbent Assay | IP - Immunoprecipitation
#P12750

相关产品


