提醒成功

搜索
Rabbit Polyclonal Antibody to CDC34
-
货号:
P12717 -
别名:
UBC3; UBCH3; UBE2R1; E2-CDC34 -
应用:
WB,IHC -
反应种属:
Human, Mouse -
抗体类型:
Primary antibody -
Swissprot:
P49427 -
规格:
-
数量:
-+ -
说明书:
目录价¥1980

Rabbit Polyclonal Antibody to CDC34
Description |
---|
The protein encoded by this gene is a member of the ubiquitin-conjugating enzyme family. Ubiquitin-conjugating enzyme catalyzes the covalent attachment of ubiquitin to other proteins. This protein is a part of the large multiprotein complex, which is required for ubiquitin-mediated degradation of cell cycle G1 regulators, and for the initiation of DNA replication. |
Specification |
|
---|---|
Aliases | UBC3; UBCH3; UBE2R1; E2-CDC34 |
Swissprot | P49427 |
WB Predicted band size | 27 kDa |
Host/Isotype | Rabbit IgG |
Antibody Type | Primary antibody |
Storage | Store at 4°C short term. Aliquot and store at -20°C long term. Avoid freeze/thaw cycles. |
Species Reactivity | Human, Mouse |
Immunogen | Synthetic peptide of human CDC34 |
Formulation | Purified antibody in PBS with 0.05% sodium azide and 50% glycerol. |
Application |
|
---|---|
WB | 1/200-1/1000 |
IHC | 1/10-1/50 |
ELISA | 1/5000-1/10000 |
Product Image
- Gel: 12%SDS-PAGE, Lysate: 40 μg, Lane: Human left the thymus tissue lysate, Primary antibody: P12717(CDC34 Antibody) at dilution 1/200, Secondary antibody: Goat anti rabbit IgG at 1/8000 dilution, Exposure time: 2 minutes
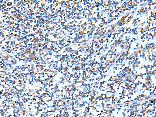
- The image is immunohistochemistry of paraffin-embedded Human tonsil tissue using P12717(CDC34 Antibody) at dilution 1/20. (Original magnification: ×200)
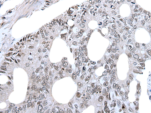
- The image is immunohistochemistry of paraffin-embedded Human colorectal cancer tissue using P12717(CDC34 Antibody) at dilution 1/20. (Original magnification: ×200)
For Reseach Only
Application Key:WB - Western Blot | IHC - Immunohistochemistry | ICC - Immunocytochemistry | FCM - Flow Cytometry | ELISA - Enzyme-linked Immunosorbent Assay | IP - Immunoprecipitation
#P12717

相关产品


