提醒成功
搜索
Rabbit Polyclonal Antibody to PPARG
-
货号:
P12367 -
别名:
GLM1; CIMT1; NR1C3; PPARG1; PPARG2; PPARgamma -
应用:
WB,IHC -
反应种属:
Human, Mouse, Rat -
抗体类型:
Primary antibody -
Swissprot:
P37231 -
规格:
-
数量:
-+ -
说明书:
目录价¥1980
Rabbit Polyclonal Antibody to PPARG
Description |
|---|
This gene encodes a member of the peroxisome proliferator-activated receptor (PPAR) subfamily of nuclear receptors. PPARs form heterodimers with retinoid X receptors (RXRs) and these heterodimers regulate transcription of various genes. Three subtypes of PPARs are known: PPAR-alpha, PPAR-delta, and PPAR-gamma. The protein encoded by this gene is PPAR-gamma and is a regulator of adipocyte differentiation. Additionally, PPAR-gamma has been implicated in the pathology of numerous diseases including obesity, diabetes, atherosclerosis and cancer. Alternatively spliced transcript variants that encode different isoforms have been described. |
Specification |
|
|---|---|
| Aliases | GLM1; CIMT1; NR1C3; PPARG1; PPARG2; PPARgamma |
| Swissprot | P37231 |
| WB Predicted band size | 58 kDa |
| Host/Isotype | Rabbit IgG |
| Antibody Type | Primary antibody |
| Storage | Store at 4°C short term. Aliquot and store at -20°C long term. Avoid freeze/thaw cycles. |
| Species Reactivity | Human, Mouse, Rat |
| Immunogen | Synthetic peptide of human PPARG |
| Formulation | Purified antibody in PBS with 0.05% sodium azide and 50% glycerol. |
Application |
|
|---|---|
| WB | 1/200-1/1000 |
| IHC | 1/20-1/100 |
| ELISA | 1/5000-1/10000 |
Product Image
- Gel: 8%SDS-PAGE, Lysate: 40 μg, Lane: HUVEC cell lysate, Primary antibody: P12367(PPARG Antibody) at dilution 1/200, Secondary antibody: Goat anti rabbit IgG at 1/8000 dilution, Exposure time: 2 minutes
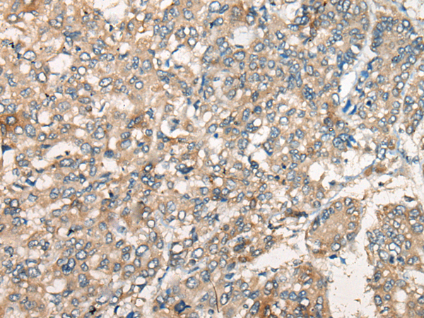
- The image is immunohistochemistry of paraffin-embedded Human liver cancer tissue using P12367(PPARG Antibody) at dilution 1/20. (Original magnification: ×200)
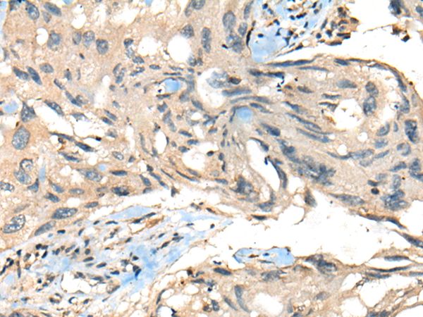
- The image is immunohistochemistry of paraffin-embedded Human breast cancer tissue using P12367(PPARG Antibody) at dilution 1/20. (Original magnification: ×200)
For Reseach Only
Application Key:WB - Western Blot | IHC - Immunohistochemistry | ICC - Immunocytochemistry | FCM - Flow Cytometry | ELISA - Enzyme-linked Immunosorbent Assay | IP - Immunoprecipitation
#P12367
相关产品

微信/QQ登录


首页
