提醒成功

搜索
Rabbit Polyclonal Antibody to DDX39B
-
货号:
P12351 -
别名:
BAT1; UAP56; D6S81E -
应用:
WB,IHC -
反应种属:
Human, Mouse, Rat -
抗体类型:
Primary antibody -
Swissprot:
Q13838 -
规格:
-
数量:
-+ -
说明书:
目录价¥1980

Rabbit Polyclonal Antibody to DDX39B
Description |
---|
This gene encodes a member of the DEAD box family of RNA-dependent ATPases that mediate ATP hydrolysis during pre-mRNA splicing. The encoded protein is an essential splicing factor required for association of U2 small nuclear ribonucleoprotein with pre-mRNA, and it also plays an important role in mRNA export from the nucleus to the cytoplasm. This gene belongs to a cluster of genes localized in the vicinity of the genes encoding tumor necrosis factor alpha and tumor necrosis factor beta. |
Specification |
|
---|---|
Aliases | BAT1; UAP56; D6S81E |
Swissprot | Q13838 |
WB Predicted band size | 49 kDa |
Host/Isotype | Rabbit IgG |
Antibody Type | Primary antibody |
Storage | Store at 4°C short term. Aliquot and store at -20°C long term. Avoid freeze/thaw cycles. |
Species Reactivity | Human, Mouse, Rat |
Immunogen | Synthetic peptide of human DDX39B |
Formulation | Purified antibody in PBS with 0.05% sodium azide and 50% glycerol. |
Application |
|
---|---|
WB | 1/500-1/2000 |
IHC | 1/30-1/150 |
ELISA | 1/2000-1/5000 |
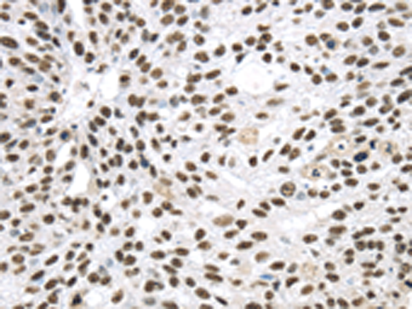
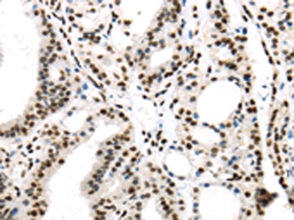
Product Image
- Gel: 8%SDS-PAGE, Lysate: 40 μg, Lane 1-6: A431 cells, SKOV3 cells, 231 cells, Jurkat cells, HepG2 cells, Hela cells, Primary antibody: P12351(DDX39B Antibody) at dilution 1/200, Secondary antibody: Goat anti rabbit IgG at 1/8000 dilution, Exposure time: 1 second
- The image is immunohistochemistry of paraffin-embedded Human breast cancer tissue using P12351(DDX39B Antibody) at dilution 1/40. (Original magnification: ×200)
- The image is immunohistochemistry of paraffin-embedded Human thyroid cancer tissue using P12351(DDX39B Antibody) at dilution 1/40. (Original magnification: ×200)
For Reseach Only
Application Key:WB - Western Blot | IHC - Immunohistochemistry | ICC - Immunocytochemistry | FCM - Flow Cytometry | ELISA - Enzyme-linked Immunosorbent Assay | IP - Immunoprecipitation
#P12351

相关产品


