提醒成功

搜索
Rabbit Polyclonal Antibody to CSPG4
-
货号:
P12329 -
别名:
NG2; MCSP; MCSPG; MSK16; CSPG4A; HMW-MAA; MEL-CSPG -
应用:
WB,IHC -
反应种属:
Human, Mouse, Rat -
抗体类型:
Primary antibody -
Swissprot:
Q6UVK1 -
规格:
-
数量:
-+ -
说明书:
目录价¥1980

Rabbit Polyclonal Antibody to CSPG4
Description |
---|
A human melanoma-associated chondroitin sulfate proteoglycan plays a role in stabilizing cell-substratum interactions during early events of melanoma cell spreading on endothelial basement membranes. CSPG4 represents an integral membrane chondroitin sulfate proteoglycan expressed by human malignant melanoma cells. |
Specification |
|
---|---|
Aliases | NG2; MCSP; MCSPG; MSK16; CSPG4A; HMW-MAA; MEL-CSPG |
Swissprot | Q6UVK1 |
WB Predicted band size | 251 kDa |
Host/Isotype | Rabbit IgG |
Antibody Type | Primary antibody |
Storage | Store at 4°C short term. Aliquot and store at -20°C long term. Avoid freeze/thaw cycles. |
Species Reactivity | Human, Mouse, Rat |
Immunogen | Synthetic peptide of human CSPG4 |
Formulation | Purified antibody in PBS with 0.05% sodium azide and 50% glycerol. |
Application |
|
---|---|
WB | 1/500-1/2000 |
IHC | 1/50-1/100 |
ELISA | 1/5000-1/10000 |
Product Image
- Gel: 6%SDS-PAGE, Lysate: 40 μg, Lane 1-3: Mouse kidney tissue, Mouse lung tissue, Mouse brain tissue lysates, Primary antibody: P12329(CSPG4 Antibody) at dilution 1/500, Secondary antibody: Goat anti rabbit IgG at 1/5000 dilution, Exposure time: 5 minutes
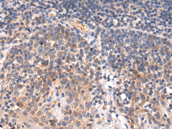
- The image is immunohistochemistry of paraffin-embedded Human tonsil tissue using P12329(CSPG4 Antibody) at dilution 1/50. (Original magnification: ×200)
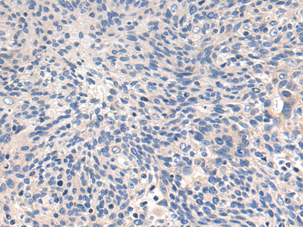
- The image is immunohistochemistry of paraffin-embedded Human cervical cancer tissue using P12329(CSPG4 Antibody) at dilution 1/50. (Original magnification: ×200)
For Reseach Only
Application Key:WB - Western Blot | IHC - Immunohistochemistry | ICC - Immunocytochemistry | FCM - Flow Cytometry | ELISA - Enzyme-linked Immunosorbent Assay | IP - Immunoprecipitation
#P12329

相关产品


