提醒成功

搜索
Rabbit Polyclonal Antibody to SAMD4A
-
货号:
P12127 -
别名:
SMG; SMGA; SAMD4; SMAUG; SMAUG1 -
应用:
IHC -
反应种属:
Human -
抗体类型:
Primary antibody -
Swissprot:
Q9UPU9 -
规格:
-
数量:
-+ -
说明书:
目录价¥1980

Rabbit Polyclonal Antibody to SAMD4A
Description |
---|
Sterile alpha motifs (SAMs) in proteins such as SAMD4A are part of an RNA-binding domain that functions as a posttranscriptional regulator by binding to an RNA sequence motif known as the Smaug recognition element, which was named after the Drosophila Smaug protein. |
Specification |
|
---|---|
Aliases | SMG; SMGA; SAMD4; SMAUG; SMAUG1 |
Swissprot | Q9UPU9 |
Host/Isotype | Rabbit IgG |
Antibody Type | Primary antibody |
Storage | Store at 4°C short term. Aliquot and store at -20°C long term. Avoid freeze/thaw cycles. |
Species Reactivity | Human |
Immunogen | Synthetic peptide of human SAMD4A |
Formulation | Purified antibody in PBS with 0.05% sodium azide and 50% glycerol. |
Application |
|
---|---|
IHC | 1/25-1/100 |
ELISA | 1/1000-1/2000 |
Product Image
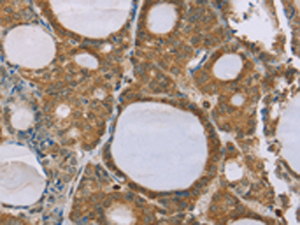
- The image is immunohistochemistry of paraffin-embedded Human liver cancer tissue using P12127(SAMD4A Antibody) at dilution 1/35. (Original magnification: ×200)
- The image is immunohistochemistry of paraffin-embedded Human thyroid cancer tissue using P12127(SAMD4A Antibody) at dilution 1/35. (Original magnification: ×200)
For Reseach Only
Application Key:WB - Western Blot | IHC - Immunohistochemistry | ICC - Immunocytochemistry | FCM - Flow Cytometry | ELISA - Enzyme-linked Immunosorbent Assay | IP - Immunoprecipitation
#P12127

相关产品


