提醒成功

搜索
Rabbit Polyclonal Antibody to S100A13
-
货号:
P12125 -
别名:
-
应用:
WB,IHC -
反应种属:
Human, Mouse -
抗体类型:
Primary antibody -
Swissprot:
Q99584 -
规格:
-
数量:
-+ -
说明书:
目录价¥1980

Rabbit Polyclonal Antibody to S100A13
Description |
---|
The protein encoded by this gene is a member of the S100 family of proteins containing 2 EF-hand calcium-binding motifs. S100 proteins are localized in the cytoplasm and/or nucleus of a wide range of cells, and involved in the regulation of a number of cellular processes such as cell cycle progression and differentiation. S100 genes include at least 13 members which are located as a cluster on chromosome 1q21. This protein is widely expressed in various types of tissues with a high expression level in thyroid gland. In smooth muscle cells, this protein co-expresses with other family members in the nucleus and in stress fibers, suggesting diverse functions in signal transduction. Multiple alternatively spliced transcript variants encoding the same protein have been found for this gene. |
Specification |
|
---|---|
Swissprot | Q99584 |
WB Predicted band size | 11 kDa |
Host/Isotype | Rabbit IgG |
Antibody Type | Primary antibody |
Storage | Store at 4°C short term. Aliquot and store at -20°C long term. Avoid freeze/thaw cycles. |
Species Reactivity | Human, Mouse |
Immunogen | Synthetic peptide of human S100A13 |
Formulation | Purified antibody in PBS with 0.05% sodium azide and 50% glycerol. |
Application |
|
---|---|
WB | 1/500-1/2000 |
IHC | 1/50-1/200 |
ELISA | 1/5000-1/10000 |
Product Image
- Gel: 12%SDS-PAGE, Lysate: 40 μg, Lane: Mouse skeletal muscle tissue lysate, Primary antibody: P12125(S100A13 Antibody) at dilution 1/800, Secondary antibody: Goat anti rabbit IgG at 1/5000 dilution, Exposure time: 2 minutes
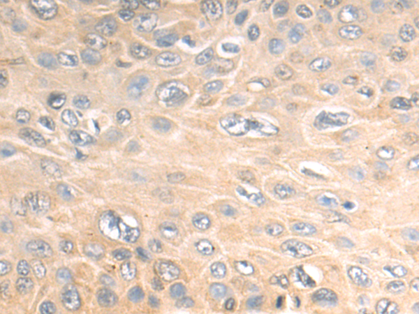
- The image is immunohistochemistry of paraffin-embedded Human esophagus cancer tissue using P12125(S100A13 Antibody) at dilution 1/50. (Original magnification: ×200)
For Reseach Only
Application Key:WB - Western Blot | IHC - Immunohistochemistry | ICC - Immunocytochemistry | FCM - Flow Cytometry | ELISA - Enzyme-linked Immunosorbent Assay | IP - Immunoprecipitation
#P12125

相关产品


