提醒成功

搜索
Rabbit Polyclonal Antibody to RRAS
-
货号:
P12118 -
别名:
-
应用:
WB,IHC -
反应种属:
Human, Mouse, Rat -
抗体类型:
Primary antibody -
Swissprot:
P10301 -
规格:
-
数量:
-+ -
说明书:
目录价¥1980

Rabbit Polyclonal Antibody to RRAS
Description |
---|
The R-Ras protein has been shown to interact with the Bcl-2 gene product involved in a signaling pathway that intervenes with apoptosis. Positions 38 and 87 (analogous to positions 12 and 61 in H-Ras) mutants of R-Ras have been shown to be capable of activating oncogenic function. Data has been obtained indicating that R-Ras may exert its biological effect by means of modulating the activity of the Raf-1 kinase on its direct downstream effectors. |
Specification |
|
---|---|
Swissprot | P10301 |
WB Predicted band size | 23 kDa |
Host/Isotype | Rabbit IgG |
Antibody Type | Primary antibody |
Storage | Store at 4°C short term. Aliquot and store at -20°C long term. Avoid freeze/thaw cycles. |
Species Reactivity | Human, Mouse, Rat |
Immunogen | Synthetic peptide of human RRAS |
Formulation | Purified antibody in PBS with 0.05% sodium azide and 50% glycerol. |
Application |
|
---|---|
WB | 1/500-1/2000 |
IHC | 1/25-1/100 |
ELISA | 1/2000-1/5000 |
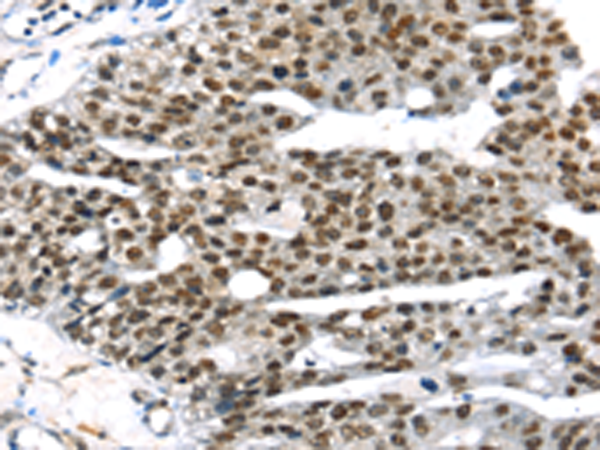
Product Image
- Gel: 6%SDS-PAGE, Lysate: 40 μg, Lane 1-2: PC3 cells, A549 cells, Primary antibody: P12118(RRAS Antibody) at dilution 1/350, Secondary antibody: Goat anti rabbit IgG at 1/8000 dilution, Exposure time: 30 seconds
- The image is immunohistochemistry of paraffin-embedded Human breast cancer tissue using P12118(RRAS Antibody) at dilution 1/25. (Original magnification: ×200)
For Reseach Only
Application Key:WB - Western Blot | IHC - Immunohistochemistry | ICC - Immunocytochemistry | FCM - Flow Cytometry | ELISA - Enzyme-linked Immunosorbent Assay | IP - Immunoprecipitation
#P12118

相关产品


