提醒成功

搜索
Rabbit Polyclonal Antibody to NEFM
-
货号:
P11978 -
别名:
NFM; NEF3; NF-M -
应用:
WB,IHC -
反应种属:
Human, Mouse, Rat -
抗体类型:
Primary antibody -
Swissprot:
P07197 -
规格:
-
数量:
-+ -
说明书:
目录价¥1980

Rabbit Polyclonal Antibody to NEFM
Description |
---|
Neurofilaments are type IV intermediate filament heteropolymers composed of light, medium, and heavy chains. Neurofilaments comprise the axoskeleton and functionally maintain neuronal caliber. They may also play a role in intracellular transport to axons and dendrites. This gene encodes the medium neurofilament protein. This protein is commonly used as a biomarker of neuronal damage. Alternative splicing results in multiple transcript variants encoding distinct isoforms. |
Specification |
|
---|---|
Aliases | NFM; NEF3; NF-M |
Swissprot | P07197 |
WB Predicted band size | 102 kDa |
Host/Isotype | Rabbit IgG |
Antibody Type | Primary antibody |
Storage | Store at 4°C short term. Aliquot and store at -20°C long term. Avoid freeze/thaw cycles. |
Species Reactivity | Human, Mouse, Rat |
Immunogen | Synthetic peptide of human NEFM |
Formulation | Purified antibody in PBS with 0.05% sodium azide and 50% glycerol. |
Application |
|
---|---|
WB | 1/500-1/2000 |
IHC | 1/50-1/100 |
ELISA | 1/5000-1/10000 |
Product Image
- Gel: 6%SDS-PAGE, Lysate: 40 μg, Lane 1-3: Mouse fetal brain tissue, Mouse brain tissue, Human cerebella tissue lysates, Primary antibody: P11978(NEFM Antibody) at dilution 1/800, Secondary antibody: Goat anti rabbit IgG at 1/5000 dilution, Exposure time: 5 seconds
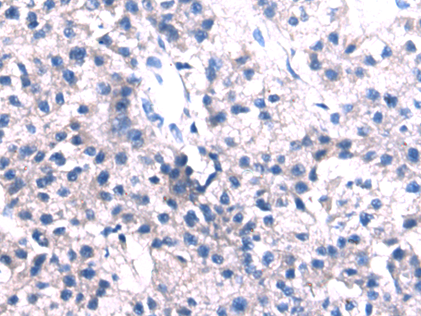
- The image is immunohistochemistry of paraffin-embedded Human cervical cancer tissue using P11978(NEFM Antibody) at dilution 1/50. (Original magnification: ×200)
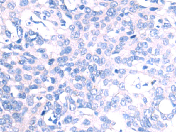
- The image is immunohistochemistry of paraffin-embedded Human liver cancer tissue using P11978(NEFM Antibody) at dilution 1/50. (Original magnification: ×200)
For Reseach Only
Application Key:WB - Western Blot | IHC - Immunohistochemistry | ICC - Immunocytochemistry | FCM - Flow Cytometry | ELISA - Enzyme-linked Immunosorbent Assay | IP - Immunoprecipitation
#P11978

相关产品


