提醒成功

搜索
Rabbit Polyclonal Antibody to SENP1
-
货号:
P11531 -
别名:
SuPr-2 -
应用:
WB,IHC -
反应种属:
Human -
抗体类型:
Primary antibody -
Swissprot:
Q9P0U3 -
规格:
-
数量:
-+ -
说明书:
目录价¥1980

Rabbit Polyclonal Antibody to SENP1
Description |
---|
This gene encodes a cysteine protease that specifically targets members of the small ubiquitin-like modifier (SUMO) protein family. This protease regulates SUMO pathways by deconjugating sumoylated proteins. This protease also functions to process the precursor SUMO proteins into their mature form. Alternate splicing results in multiple transcript variants. |
Specification |
|
---|---|
Aliases | SuPr-2 |
Swissprot | Q9P0U3 |
WB Predicted band size | 73 kDa |
Host/Isotype | Rabbit IgG |
Antibody Type | Primary antibody |
Storage | Store at 4°C short term. Aliquot and store at -20°C long term. Avoid freeze/thaw cycles. |
Species Reactivity | Human |
Immunogen | Synthetic peptide of human SENP1 |
Formulation | Purified antibody in PBS with 0.05% sodium azide and 50% glycerol. |
Application |
|
---|---|
WB | 1/200-1/1000 |
IHC | 1/25-1/100 |
ELISA | 1/1000-1/2000 |
Product Image
- Gel: 6%SDS-PAGE, Lysate: 40 μg, Lane: K562 cells, Primary antibody: P11531(SENP1 Antibody) at dilution 1/1500, Secondary antibody: Goat anti rabbit IgG at 1/8000 dilution, Exposure time: 5 minutes
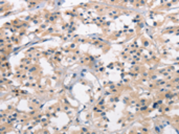
- The image is immunohistochemistry of paraffin-embedded Human liver cancer tissue using P11531(SENP1 Antibody) at dilution 1/25. (Original magnification: ×200)
- The image is immunohistochemistry of paraffin-embedded Human thyroid cancer tissue using P11531(SENP1 Antibody) at dilution 1/25. (Original magnification: ×200)
For Reseach Only
Application Key:WB - Western Blot | IHC - Immunohistochemistry | ICC - Immunocytochemistry | FCM - Flow Cytometry | ELISA - Enzyme-linked Immunosorbent Assay | IP - Immunoprecipitation
#P11531

相关产品


