提醒成功

搜索
Rabbit Polyclonal Antibody to APBA2
-
货号:
P11461 -
别名:
X11L; MINT2; LIN-10; HsT16821; X11-BETA; D15S1518E; MGC:14091 -
应用:
IHC -
反应种属:
Human -
抗体类型:
Primary antibody -
Swissprot:
Q99767 -
规格:
-
数量:
-+ -
说明书:
目录价¥1980

Rabbit Polyclonal Antibody to APBA2
Description |
---|
The protein encoded by this gene is a member of the X11 protein family. It is a neuronal adapter protein that interacts with the Alzheimer's disease amyloid precursor protein (APP). It stabilizes APP and inhibits production of proteolytic APP fragments including the A beta peptide that is deposited in the brains of Alzheimer's disease patients. This gene product is believed to be involved in signal transduction processes. It is also regarded as a putative vesicular trafficking protein in the brain that can form a complex with the potential to couple synaptic vesicle exocytosis to neuronal cell adhesion. Multiple transcript variants encoding different isoforms have been found for this gene. |
Specification |
|
---|---|
Aliases | X11L; MINT2; LIN-10; HsT16821; X11-BETA; D15S1518E; MGC:14091 |
Swissprot | Q99767 |
Host/Isotype | Rabbit IgG |
Antibody Type | Primary antibody |
Storage | Store at 4°C short term. Aliquot and store at -20°C long term. Avoid freeze/thaw cycles. |
Species Reactivity | Human |
Immunogen | Synthetic peptide of human APBA2 |
Formulation | Purified antibody in PBS with 0.05% sodium azide and 50% glycerol. |
Application |
|
---|---|
IHC | 1/100-1/300 |
ELISA | 1/2000-1/5000 |
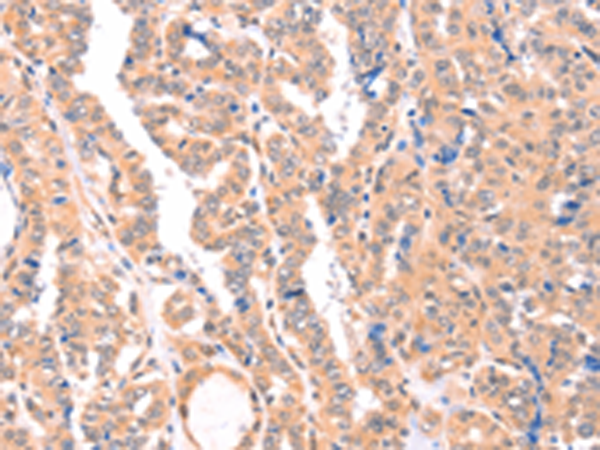
Product Image
- The image is immunohistochemistry of paraffin-embedded Human liver cancer tissue using P11461(APBA2 Antibody) at dilution 1/80. (Original magnification: ×200)
- The image is immunohistochemistry of paraffin-embedded Human thyroid cancer tissue using P11461(APBA2 Antibody) at dilution 1/80. (Original magnification: ×200)
For Reseach Only
Application Key:WB - Western Blot | IHC - Immunohistochemistry | ICC - Immunocytochemistry | FCM - Flow Cytometry | ELISA - Enzyme-linked Immunosorbent Assay | IP - Immunoprecipitation
#P11461

相关产品


