提醒成功

搜索
Rabbit Polyclonal Antibody to TNN
-
货号:
P11376 -
别名:
TN-W -
应用:
IHC -
反应种属:
Human, Mouse -
抗体类型:
Primary antibody -
Swissprot:
Q9UQP3 -
规格:
-
数量:
-+ -
说明书:
目录价¥1980

Rabbit Polyclonal Antibody to TNN
Description |
---|
This protein is involved in neurite outgrowth and cell migration in hippocampal explants.It has three EGF-like domains, one fibrinogen C-terminal domain and nine fibronectin type III domains.Tenascins are extracellular matrix proteins present during the development of organisms as well as in pathological conditions.Tenascin-W, the fourth and last member of the tenascin family remains the least well-characterized one. |
Specification |
|
---|---|
Aliases | TN-W |
Swissprot | Q9UQP3 |
Host/Isotype | Rabbit IgG |
Antibody Type | Primary antibody |
Storage | Store at 4°C short term. Aliquot and store at -20°C long term. Avoid freeze/thaw cycles. |
Species Reactivity | Human, Mouse |
Immunogen | Synthetic peptide of human TNN |
Formulation | Purified antibody in PBS with 0.05% sodium azide and 50% glycerol. |
Application |
|
---|---|
IHC | 1/50-1/200 |
ELISA | 1/3000-1/10000 |
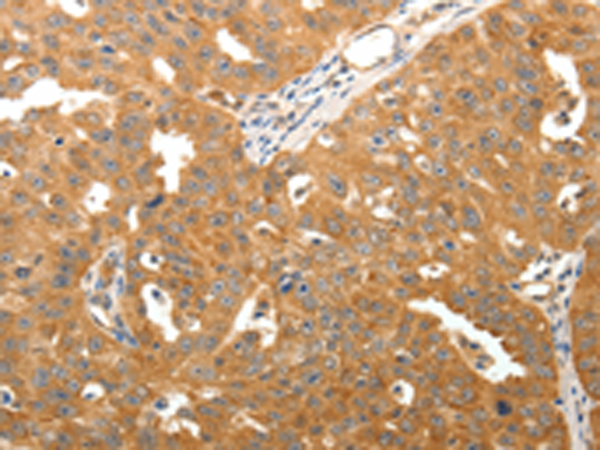
Product Image
- The image is immunohistochemistry of paraffin-embedded Human liver cancer tissue using P11376(TNN Antibody) at dilution 1/50. (Original magnification: ×200)
- The image is immunohistochemistry of paraffin-embedded Human ovarian cancer tissue using P11376(TNN Antibody) at dilution 1/50. (Original magnification: ×200)
For Reseach Only
Application Key:WB - Western Blot | IHC - Immunohistochemistry | ICC - Immunocytochemistry | FCM - Flow Cytometry | ELISA - Enzyme-linked Immunosorbent Assay | IP - Immunoprecipitation
#P11376

相关产品


