提醒成功

搜索
Rabbit Polyclonal Antibody to SCN11A
-
货号:
P11338 -
别名:
NaN; SNS-2; NAV1.9; SCN12A -
应用:
IHC -
反应种属:
Human, Mouse, Rat -
抗体类型:
Primary antibody -
Swissprot:
Q9UI33 -
规格:
-
数量:
-+ -
说明书:
目录价¥1980

Rabbit Polyclonal Antibody to SCN11A
Description |
---|
Voltage-gated sodium channels are membrane protein complexes that play a fundamental role in the rising phase of the action potential in most excitable cells. Alpha subunits, such as SCN11A, mediate voltage-dependent gating and conductance, while auxiliary beta subunits regulate the kinetic properties of the channel and facilitate membrane localization of the complex. Aberrant expression patterns or mutations of alpha subunits underlie a number of disorders. Each alpha subunit consists of 4 domains connected by 3 intracellular loops; each domain consists of 6 transmembrane segments and intra- and extracellular linkers. |
Specification |
|
---|---|
Aliases | NaN; SNS-2; NAV1.9; SCN12A |
Swissprot | Q9UI33 |
Host/Isotype | Rabbit IgG |
Antibody Type | Primary antibody |
Storage | Store at 4°C short term. Aliquot and store at -20°C long term. Avoid freeze/thaw cycles. |
Species Reactivity | Human, Mouse, Rat |
Immunogen | Synthetic peptide of human SCN11A |
Formulation | Purified antibody in PBS with 0.05% sodium azide and 50% glycerol. |
Application |
|
---|---|
IHC | 1/50-1/200 |
ELISA | 1/2000-1/5000 |
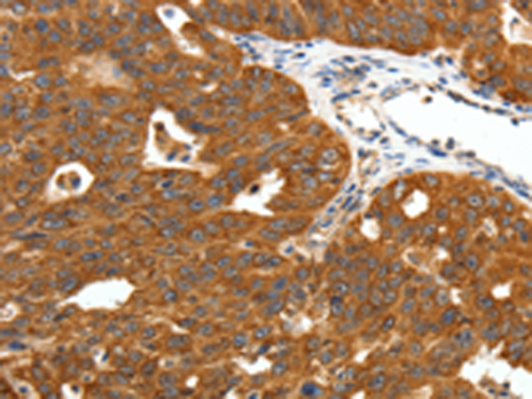
Product Image
- The image is immunohistochemistry of paraffin-embedded Human breast cancer tissue using P11338(SCN11A Antibody) at dilution 1/50. (Original magnification: ×200)
- The image is immunohistochemistry of paraffin-embedded Human ovarian cancer tissue using P11338(SCN11A Antibody) at dilution 1/50. (Original magnification: ×200)
For Reseach Only
Application Key:WB - Western Blot | IHC - Immunohistochemistry | ICC - Immunocytochemistry | FCM - Flow Cytometry | ELISA - Enzyme-linked Immunosorbent Assay | IP - Immunoprecipitation
#P11338

相关产品


