提醒成功

搜索
Rabbit Polyclonal Antibody to RRAD
-
货号:
P11330 -
别名:
RAD; RAD1; REM3 -
应用:
IHC -
反应种属:
Human, Mouse, Rat -
抗体类型:
Primary antibody -
Swissprot:
P55042 -
规格:
-
数量:
-+ -
说明书:
目录价¥1980

Rabbit Polyclonal Antibody to RRAD
Description |
---|
The protein may be important in cardiac antiarrhythmia via the strong suppression of voltage-gated L-type Ca2+ currents. As regulator of voltage-dependent L-type calcium channel subunit alpha-1C trafficking to the cell membrane. Inhibits cardiac hypertrophy through the calmodulin-dependent kinase II (CaMKII) pathway and phosphorylation and activation of CAMK2D. Mostly expressed in the heart and muscle of type II diabetic humans. Also found in the skeletal muscle, lung and adipose tissue. Lesser amounts in placenta and kidney. |
Specification |
|
---|---|
Aliases | RAD; RAD1; REM3 |
Swissprot | P55042 |
Host/Isotype | Rabbit IgG |
Antibody Type | Primary antibody |
Storage | Store at 4°C short term. Aliquot and store at -20°C long term. Avoid freeze/thaw cycles. |
Species Reactivity | Human, Mouse, Rat |
Immunogen | Synthetic peptide of human RRAD |
Formulation | Purified antibody in PBS with 0.05% sodium azide and 50% glycerol. |
Application |
|
---|---|
IHC | 1/50-1/200 |
ELISA | 1/2000-1/5000 |
Product Image
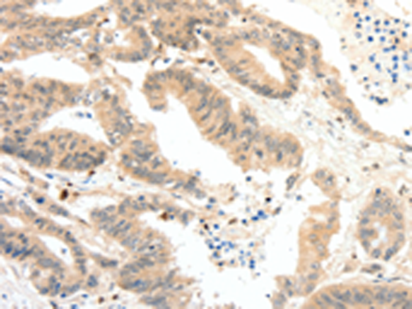
- The image is immunohistochemistry of paraffin-embedded Human brain tissue using P11330(RRAD Antibody) at dilution 1/50. (Original magnification: ×200)
- The image is immunohistochemistry of paraffin-embedded Human colon cancer tissue using P11330(RRAD Antibody) at dilution 1/50. (Original magnification: ×200)
For Reseach Only
Application Key:WB - Western Blot | IHC - Immunohistochemistry | ICC - Immunocytochemistry | FCM - Flow Cytometry | ELISA - Enzyme-linked Immunosorbent Assay | IP - Immunoprecipitation
#P11330

相关产品


