提醒成功
搜索
Rabbit Polyclonal Antibody to TRIM63
-
货号:
P11269 -
别名:
IRF; SMRZ; MURF1; MURF2; RNF28 -
应用:
WB,IHC -
反应种属:
Human, Rat -
抗体类型:
Primary antibody -
Swissprot:
Q969Q1 -
规格:
-
数量:
-+ -
说明书:
目录价¥1980
Rabbit Polyclonal Antibody to TRIM63
Description |
|---|
This gene encodes a member of the RING zinc finger protein family found in striated muscle and iris. The product of this gene is an E3 ubiquitin ligase that localizes to the Z-line and M-line lattices of myofibrils. This protein plays an important role in the atrophy of skeletal and cardiac muscle and is required for the degradation of myosin heavy chain proteins, myosin light chain, myosin binding protein, and for muscle-type creatine kinase. |
Specification |
|
|---|---|
| Aliases | IRF; SMRZ; MURF1; MURF2; RNF28 |
| Swissprot | Q969Q1 |
| WB Predicted band size | 40 kDa |
| Host/Isotype | Rabbit IgG |
| Antibody Type | Primary antibody |
| Storage | Store at 4°C short term. Aliquot and store at -20°C long term. Avoid freeze/thaw cycles. |
| Species Reactivity | Human, Rat |
| Immunogen | Synthetic peptide of human TRIM63 |
| Formulation | Purified antibody in PBS with 0.05% sodium azide and 50% glycerol. |
Application |
|
|---|---|
| WB | 1/500-1/2000 |
| IHC | 1/50-1/200 |
| ELISA | 1/5000-1/10000 |
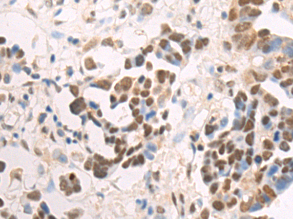
Product Image
- Gel: 12%SDS-PAGE, Lysate: 40 μg, Lane: Rat skeletal muscle tissue lysate, Primary antibody: P11269(TRIM63 Antibody) at dilution 1/800, Secondary antibody: Goat anti rabbit IgG at 1/5000 dilution, Exposure time: 1 minute
- The image is immunohistochemistry of paraffin-embedded Human colorectal cancer tissue using P11269(TRIM63 Antibody) at dilution 1/50. (Original magnification: ×200)
For Reseach Only
Application Key:WB - Western Blot | IHC - Immunohistochemistry | ICC - Immunocytochemistry | FCM - Flow Cytometry | ELISA - Enzyme-linked Immunosorbent Assay | IP - Immunoprecipitation
#P11269
相关产品

微信/QQ登录


首页
