提醒成功

搜索
Rabbit Polyclonal Antibody to NFATC2
-
货号:
P11155 -
别名:
NFAT1; NFATP -
应用:
IHC -
反应种属:
Human, Mouse -
抗体类型:
Primary antibody -
Swissprot:
Q13469 -
规格:
-
数量:
-+ -
说明书:
目录价¥1980

Rabbit Polyclonal Antibody to NFATC2
Description |
---|
This gene is a member of the nuclear factor of activated T cells (NFAT) family. The product of this gene is a DNA-binding protein with a REL-homology region (RHR) and an NFAT-homology region (NHR). This protein is present in the cytosol and only translocates to the nucleus upon T cell receptor (TCR) stimulation, where it becomes a member of the nuclear factors of activated T cells transcription complex. This complex plays a central role in inducing gene transcription during the immune response. Alternate transcriptional splice variants encoding different isoforms have been characterized. |
Specification |
|
---|---|
Aliases | NFAT1; NFATP |
Swissprot | Q13469 |
Host/Isotype | Rabbit IgG |
Antibody Type | Primary antibody |
Storage | Store at 4°C short term. Aliquot and store at -20°C long term. Avoid freeze/thaw cycles. |
Species Reactivity | Human, Mouse |
Immunogen | Synthetic peptide of human NFATC2 |
Formulation | Purified antibody in PBS with 0.05% sodium azide and 50% glycerol. |
Application |
|
---|---|
IHC | 1/25-1/100 |
ELISA | 1/1000-1/5000 |
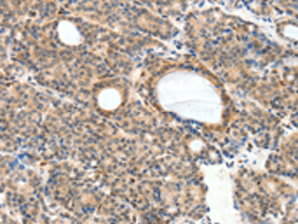
Product Image
- The image is immunohistochemistry of paraffin-embedded Human thyroid cancer tissue using P11155(NFATC2 Antibody) at dilution 1/30. (Original magnification: ×200)
- The image is immunohistochemistry of paraffin-embedded Human ovarian cancer tissue using P11155(NFATC2 Antibody) at dilution 1/30. (Original magnification: ×200)
For Reseach Only
Application Key:WB - Western Blot | IHC - Immunohistochemistry | ICC - Immunocytochemistry | FCM - Flow Cytometry | ELISA - Enzyme-linked Immunosorbent Assay | IP - Immunoprecipitation
#P11155

相关产品


