提醒成功

搜索
Rabbit Polyclonal Antibody to TWIST1
-
货号:
P11146 -
别名:
SCS; ACS3; CRS1; BPES2; BPES3; TWIST; bHLHa38 -
应用:
IHC -
反应种属:
Human, Mouse -
抗体类型:
Primary antibody -
Swissprot:
Q15672 -
规格:
-
数量:
-+ -
说明书:
目录价¥1980

Rabbit Polyclonal Antibody to TWIST1
Description |
---|
Basic helix-loop-helix (bHLH) transcription factors have been implicated in cell lineage determination and differentiation. The protein encoded by this gene is a bHLH transcription factor and shares similarity with another bHLH transcription factor, Dermo1. The strongest expression of this mRNA is in placental tissue; in adults, mesodermally derived tissues express this mRNA preferentially. Mutations in this gene have been found in patients with Saethre-Chotzen syndrome. |
Specification |
|
---|---|
Aliases | SCS; ACS3; CRS1; BPES2; BPES3; TWIST; bHLHa38 |
Swissprot | Q15672 |
Host/Isotype | Rabbit IgG |
Antibody Type | Primary antibody |
Storage | Store at 4°C short term. Aliquot and store at -20°C long term. Avoid freeze/thaw cycles. |
Species Reactivity | Human, Mouse |
Immunogen | Synthetic peptide of human TWIST1 |
Formulation | Purified antibody in PBS with 0.05% sodium azide and 50% glycerol. |
Application |
|
---|---|
IHC | 1/25-1/100 |
ELISA | 1/2000-1/5000 |
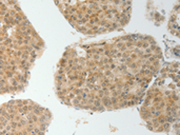
Product Image
- The image is immunohistochemistry of paraffin-embedded Human colon cancer tissue using P11146(TWIST1 Antibody) at dilution 1/20. (Original magnification: ×200)
- The image is immunohistochemistry of paraffin-embedded Human liver cancer tissue using P11146(TWIST1 Antibody) at dilution 1/20. (Original magnification: ×200)
For Reseach Only
Application Key:WB - Western Blot | IHC - Immunohistochemistry | ICC - Immunocytochemistry | FCM - Flow Cytometry | ELISA - Enzyme-linked Immunosorbent Assay | IP - Immunoprecipitation
#P11146

相关产品


