提醒成功

搜索
Rabbit Polyclonal Antibody to METTL17
-
货号:
P06487 -
别名:
METT11D1 -
应用:
WB,IHC -
反应种属:
Human, Mouse -
抗体类型:
Primary antibody -
Swissprot:
Q9H7H0 -
规格:
-
数量:
-+ -
说明书:
目录价¥1980

Rabbit Polyclonal Antibody to METTL17
Description |
---|
May be a component of the mitochondrial small ribosomal subunit. |
Specification |
|
---|---|
Aliases | METT11D1 |
Swissprot | Q9H7H0 |
WB Predicted band size | 51 kDa |
Host/Isotype | Rabbit IgG |
Antibody Type | Primary antibody |
Storage | Store at 4°C short term. Aliquot and store at -20°C long term. Avoid freeze/thaw cycles. |
Species Reactivity | Human, Mouse |
Immunogen | Synthetic peptide of human METTL17 |
Formulation | Purified antibody in PBS with 0.05% sodium azide and 50% glycerol. |
Application |
|
---|---|
WB | 1/500-1/2000 |
IHC | 1/50-1/300 |
ELISA | 1/5000-1/10000 |
Product Image
- Gel: 8%SDS-PAGE, Lysate: 40 μg, Lane: Human colorectal cancer tissue lysate, Primary antibody: P06487(METTL17 Antibody) at dilution 1/700, Secondary antibody: Goat anti rabbit IgG at 1/5000 dilution, Exposure time: 1 minute
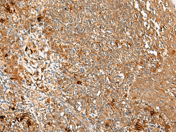
- The image is immunohistochemistry of paraffin-embedded Human tonsil tissue using P06487(METTL17 Antibody) at dilution 1/60. (Original magnification: ×200)
For Reseach Only
Application Key:WB - Western Blot | IHC - Immunohistochemistry | ICC - Immunocytochemistry | FCM - Flow Cytometry | ELISA - Enzyme-linked Immunosorbent Assay | IP - Immunoprecipitation
#P06487

相关产品


