提醒成功
搜索
产品中心
Product Center条件筛选
全部清除
-
Category
-
Host
-
Antibody Type
-
Application
-
Conjugation
-
Research Field
-
Modified
-
Targets
-
Antibody Pair
-
Host/Isotype
-
Species Reactivity
-
加入对比加入购物车
-
加入对比加入购物车
-
加入对比加入购物车
-
加入对比加入购物车
-
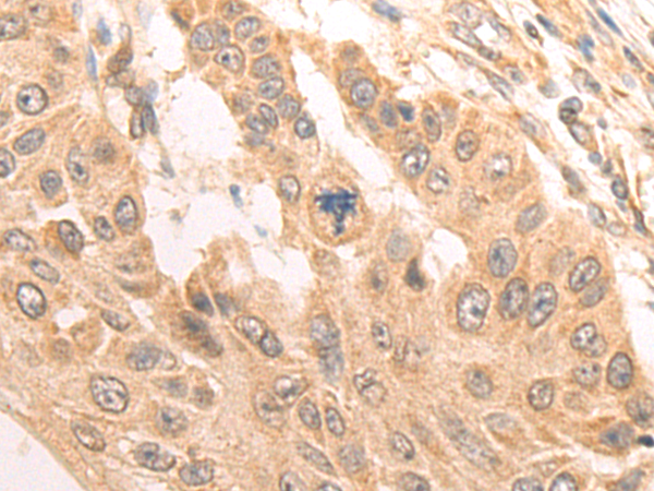
货号:55430Integrin alpha 9
应用:WB IHC 别名:Alpha RLC; ITGA4L; ITGA9; RLC; 反应种属:Human Mouse Rat目录价 ¥1280
加入对比加入购物车 -
加入对比加入购物车
-
加入对比加入购物车
-
加入对比加入购物车
-
加入对比加入购物车
-
加入对比加入购物车
-
加入对比加入购物车
-
加入对比加入购物车

微信/QQ登录


首页


