提醒成功

搜索
Rabbit Monoclonal Antibody to Phospho-Rb2 p130 (Ser952)
-
货号:
P20148 -
别名:
Rb2; P130 -
应用:
WB,IHC,IF -
反应种属:
Human -
抗体类型:
Primary antibody -
Swissprot:
Q08999 -
规格:
-
数量:
-+ -
说明书:
目录价¥2180

Rabbit Monoclonal Antibody to Phospho-Rb2 p130 (Ser952)
Description |
---|
Key regulator of entry into cell division. Directly involved in heterochromatin formation by maintaining overall chromatin structure and, in particular, that of constitutive heterochromatin by stabilizing histone methylation. Recruits and targets histone methyltransferases KMT5B and KMT5C, leading to epigenetic transcriptional repression. Controls histone H4 'Lys-20' trimethylation. Probably acts as a transcription repressor by recruiting chromatin-modifying enzymes to promoters. Potent inhibitor of E2F-mediated trans-activation, associates preferentially with E2F5. Binds to cyclins A and E. Binds to and may be involved in the transforming capacity of the adenovirus E1A protein. May act as a tumor suppressor. |
Specification |
|
---|---|
Aliases | Rb2; P130 |
Entrez GeneID | 5934 |
Swissprot | Q08999 |
WB Predicted band size | Calculated MW: 128 kDa; Observed MW: 128 kDa |
Host/Isotype | Rabbit IgG |
Antibody Type | Primary antibody |
Storage | Store at 4°C short term. Aliquot and store at -20°C long term. Avoid freeze/thaw cycles. |
Species Reactivity | Human |
Immunogen | A synthetic phosphopeptide corresponding to residues surrounding Ser952 of human Rb2 p130 |
Formulation | Purified antibody in TBS with 0.05% sodium azide,0.05%BSA and 50% glycerol. |
Application |
|
---|---|
WB | 1/500-1/1000 |
IHC | 1/50-1/100 |
IF/ICC | 1/50-1/200 |
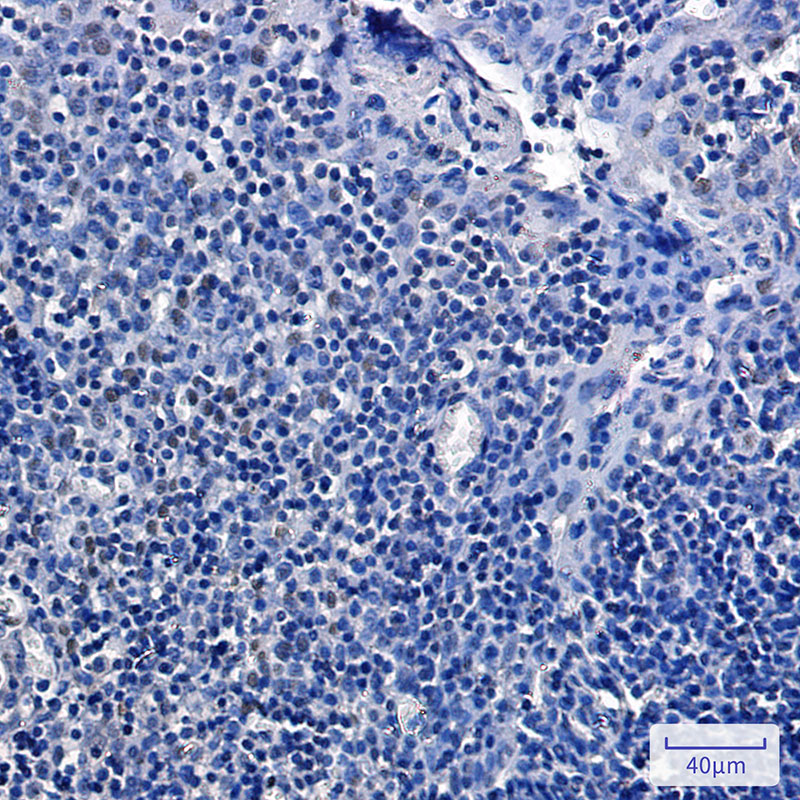
Product Image
- Western blot analysis of Rb2 p130 (Phospho-Ser952) in K562, Hela lysates using Phospho-Rb2 p130 (Ser952) antibody.
- Immunocytochemistry analysis of Rb2 p130 (Phospho-Ser952)(green) in Hela using Rb2 p130 (Phospho-Ser952) antibody,and DAPI(blue)
- Immunohistochemistry analysis of paraffin-embedded Human tonsil using Rb2 p130 (Phospho-Ser952) antibody. High-pressure and temperature Sodium Citrate pH 6.0 was used for antigen retrieval.
For Reseach Only
Application Key:WB - Western Blot | IHC - Immunohistochemistry | ICC - Immunocytochemistry | FCM - Flow Cytometry | ELISA - Enzyme-linked Immunosorbent Assay | IP - Immunoprecipitation
#P20148

相关产品


